Documentary film “The Fabric of the Human Body” is simply unforgettable for its utterly vivid and visceral presentation of medical cares and treatments on the human body. You will definitely wince more than once for many graphic moments of flesh and blood on the screen, but you may also come to appreciate more the ever-diligent efforts of millions of people working inside the medical system of your country, and it will certainly make you reflect more on how invaluable medical care and treatment are for all of us at every moment of our life.
The documentary, which was incidentally shot in five different hospitals in Paris, simply consists of a series of various scenes which mostly show how doctors, nurses, and many other different hospital workers doing their respective jobs. Without any background explanation for us, it just throws us into the moments to follow and observe, but these moments are quite absorbing for not only being frequently striking but also showing aching human elements from time to time. In case of one of the earlier scenes, the documentary observes a female nurse talking and working with a colleague of hers, but we come to pay more attention to her even though the camera is watching her from the distance. She merely talks about one difficult case after another at the intensive care unit of her hospital, but we begin to sense more of her exhaustion and frustration as listening to her with more empathy and understanding.
In case of a ward full of aging people struggling with the gradual deterioration of their brain, we see a senile old lady who cannot help but repeat the same words as accompanied by one of the ward nurses. As the camera steadily follows them, her worsening medical condition is more apparent to us, and we are more saddened as observing that she even does not know where she is going now at all while gently led by her nurse along a ward corridor.
We also observe many different kinds of medical procedures, and I have to warn you that the documentary does not pull any punch at all from the beginning. During one particularly memorable scene, we are thrown in the middle of a colonoscopy, and you will surely cringe as every detail of the inner surface of colon is vividly captured by the colonoscopy camera – especially if you have ever experienced a colonoscopy.
We also get a couple of brain surgery scenes, and what you are going to behold is not a pretty sight at all. In one of these two scenes, a doctor is carefully working on the brain of his patient who is incidentally conscious during the surgery, and the mood is rather tense even though the doctor calmly and casually handles the procedure step by step.
If your stomach is already churning, I have to tell you that there will be more graphic stuffs to behold. As a guy who has been quite sensitive about my poor eyesight, I surely squirmed a lot while watching the procedure of a delicate eye surgery, and I certainly hope that I will never need such a surgery like that for the rest of my life. In one particular scene involved with the medical treatment on the urinary organs, its very graphic details may be often discomforting to many of you, and you will probably be more unnerved as a doctor and others around him are having a casual conversation in the middle of this rather grisly medical procedure just like those military doctor characters in Robert Altman’s “MAS*H” (1970).
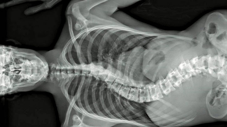
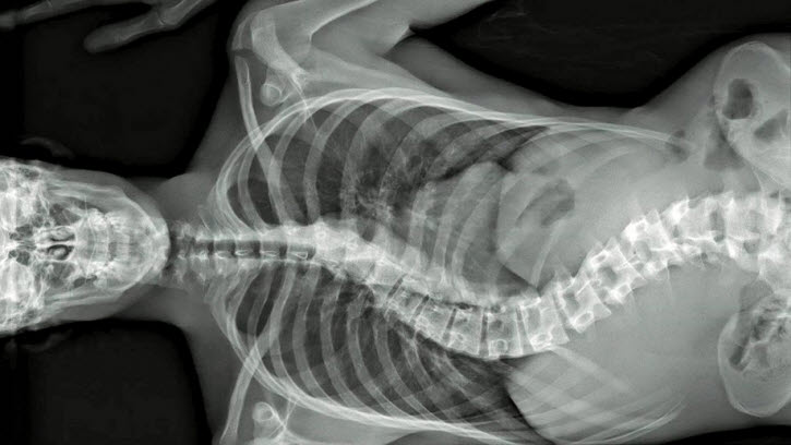
One of the main highlights in the documentary belongs to an interesting case of spinal cord correction. At first, we see the X-ray photograph clearly showing why the patient needs that surgery, and then the documentary gives us all the bloody details of the following surgery, which surely takes lots of efforts from the doctors and nurses participating in the story. When the surgery is eventually over, we see its fairly satisfying result via another X-ray photograph, and we come to admire more the skills and techniques behind that.
In the meantime, the documentary does not overlook how things can be quite exhausting and frustrating for many hospital workers out there. Often working much more than expected, they sometimes express their growing discontent and frustration with their workplace, and that reminds us of how fragile our medical care system can be. After all, the system is depending a lot on human efforts and skills as it always has throughout the human history, and many of us often overlook that aspect as taking the system and its people for granted. Sure, there will be a day when AI robots and computers can effectively do a lot of hospital works instead, but our medical system still needs a lot of millions of medical workers for now, and we certainly should show more care and appreciation to their daily efforts.
As calmly maintaining its non-judgmental objective attitude, the documentary eventually arrives at the final scene which will linger on your mind as much as many other striking moments in the documentary. We see a bunch of hospital workers having a little night party together, and the mood becomes jovial as they joke a bit about themselves and then dance together to the music played in the background. Rather than showing these people, the camera simply looks over the grotesque murals on the walls, and these murals surely make an interesting contrast to what we have observed throughout the documentary.
“The Fabric of the Human Body”, whose title comes from 16th-century book series “De Humani Corporis Fabrica Libri Septem” written by Andreas Vesalius (1514-1564), is directed by Lucien Castaing-Taylor and Véréna Parave, who also handled the editing and cinematography of their documentary. Just like their previous work “Leviathan” (2012) struck me hard for the uncompromising approach to its main subject, the documentary shook me hard for its unhesitatingly close exploration of medical care and treatment, and I assure you that you will never forget it once it is over. In short, this is one of the best documentaries of this year, and you should check it out as soon as possible even though you must brace for yourself from the very start.










Pingback: 10 movies of 2023 – and more: Part 2 | Seongyong's Private Place